ارتودنسی کودکان به عنوان یکی از مهم ترین گام های سلامت دهان و دندان شناخته می شود. در واقع برخلاف باور عموم که ارتودنسی را صرفا برای سنین بزرگسالی مناسب می دانند ، اصلاح زود هنگام ناهنجاری های فکی و دندانی در سنین پایین ، می تواند به درمان سریع تر ، راحت تر و همچنین کم هزینه تر کمک کند با این حال احتمال دارد شما نیز در ارتباط با مراحل انجام این روش یا انتخاب بهترین زمان برای شروع آن سوالاتی داشته باشید ، بنابراین این مقاله را تا انتها بخوانید تا به جمع بندی کاملی از ارتودنسی کودکان و موارد مرتبط با آن برسید.
منظور از ارتودنسی کودکان چیست ؟
ارتودنسی کودکان به مجموعه ای از روش های درمانی گفته میشود که به اصلاح ناهنجاری های فکی و دندانی در سنین پایین کمک میکند. این درمان معمولاً از سنین ۶ تا ۱۲ سالگی ، یعنی زمانی که دندان های شیری در حال جایگزینی با دندان های دائمی هستند ، آغاز میشود. هدف از ارتودنسی در کودکان ، پیشگیری از مشکلات جدی تر در آینده ، بهبود عملکرد دهان و دندان و ایجاد لبخندی زیبا و سالم است. با تشخیص و مداخله زود هنگام ، میتوان بسیاری از مشکلات مرتبط با فک را بدون نیاز به درمان های پیچیده در بزرگسالی برطرف کرد.
انواع ارتودنسی کودکان
ارتودنسی کودکان روشهای متنوعی دارد که بسته به میزان بی نظمی دندان ها ، شرایط کودک و تشخیص متخصص ارتودنسی ، بهترین گزینه انتخاب میشود. برخی از روش ها برای اصلاح مشکلات شدید تر مناسب اند ، در حالی که برخی دیگر بیشتر برای زیبایی یا اصلاحات جزئی به کار میروند. در ادامه با رایج ترین انواع ارتودنسی کودکان آشنا میشویم :
- ارتودنسی خارج دهانی
ارتودنسی خارج دهانی در اصل همان ارتودنسی فک یا ارتوپدی فکین به منظور تراز کردن آنها می باشد.دستگاه های خارج دهانی ابزارهایی هستند که در سن رشد و به منظور تصحیح رابطه فکی به کار می روند.این دستگاه ها برای انجام درمان های متفاوتی به کار می روند و کاربردهای مختلفی دارند.برای جلوگیری از جلوآمدن فک بالا،از وسیله ای به نام هدگیر استفاده می شود.برای جلوآوردن این فک نیز از دستگاهی به نام فیس ماسک استفاده می شود.جلوبودن فک پایین نیز با دستگاهی به نام چین کاپ درمان می شود.دستگاه های جلوآوردن فک پایین اغلب داخل دهانی هستند و بصورت پلاک متحرک به کار می روند.
- ارتودنسی داخل دهانی یا ارتودنسی متحرک
این نوع ارتودنسی شامل پلاک های متحرکی است که برای اصلاح مشکلات جزئی یا حفظ نتایج درمان های ارتودنسی ثابت استفاده میشود. کودک میتواند آن را هنگام غذا خوردن یا مسواک زدن خارج کند.پلاک های متحرک به منظور اصلاح فک نیز به کار می روند.در اینحالت دو پلاک متحرک فک بالا و فک پایین به سکلی ساخته می شوند که هنگام بسته شدن،فک پایین جلوآورده شود.این دستگاه ها پلاک های فانکشنال نامیده می شوند.
هر یک از این روش ها مزایا و معایب خاص خود را دارند و انتخاب بهترین روش باید با مشورت متخصص ارتودنسی انجام شود تا بهترین نتیجه برای کودک حاصل شود.
علائم اصلی نیاز به ارتودنسی پیشگیری در کودکان
نیاز به ارتودنسی پیشگیری در کودکان معمولاً زمانی مشخص میشود که مشکلات دندانی یا فکی از سنین پایین شناسایی شوند. برخی از علائم اصلی که نشان دهنده نیاز به ارتودنسی پیشگیری هستند شامل رشد غیر طبیعی دندان ها ، مشکلات در بستن دهان یا دندان ها (مثل بایت باز یا بایت عمیق) و بی نظمی دندان ها هستند. علاوه بر این ، مشکلات در تنفس (مثل تنفس از دهان به جای بینی) ، عادت های بدی مانند مکیدن انگشت یا جویدن اشیاء، و مشکلات در جویدن و صحبت کردن نیز از علائم هشدار دهنده هستند. در این موارد ، ارتودنسی کودکان میتواند به اصلاح مشکلات دندانی و فکی قبل از بروز مشکلات شدیدتر در سنین بالاتر کمک کند.
بهترین سن برای ارتودنسی کودکان
بهترین سن برای ارتودنسی کودکان معمولاً بین 6 تا 12 سالگی است ، زیرا در این دوره دندان های دائمی در حال رشد هستند و استخوان های فک هنوز انعطاف پذیر اند . انجام ارتودنسی در این سن باعث میشود که مشکلات فکی و دندانی راحت تر اصلاح شوند و درمان سریع تر و مؤثر تر باشد. قبل از این سن، بسیاری از دندان های شیری هنوز در دهان کودک هستند و ممکن است تشخیص دقیق مشکلات ارتودنسی دشوار باشد. از طرف دیگر ، اگر درمان به بعد از سنین نوجوانی موکول شود ، استخوان های فک سفت تر شده و اصلاح ناهنجاری ها پیچیده تر و زمان بر خواهد شد بنابراین بهترین زمان برای ارتودنسی کودکان پس از افتادن دندان های شیری و پیش از رشد کامل استخوان های فک است
دلایل انجام ارتودنسی کودکان
همان طور که می دانید زیبایی یکی از اصلی ترین عواملی است که سبب تمایل افراد به انجام ارتودنسی می شود با این حال می تواند عوامل زیر را نیز در این تصمیم موثر دانست :
۱. جلوگیری از مشکلات شدیدتر در آینده
اگر ناهنجاری ها در کودکی اصلاح نشوند ، ممکن است در بزرگسالی نیاز به درمان های پیچیده تر و پرهزینه تری مانند جراحی فک باشد. ارتودنسی زود هنگام به هدایت رشد فک و رویش صحیح دندان ها کمک میکند و از مشکلات حادتر جلوگیری میکند.
۲. بهبود سلامت دهان و دندان
دندان های نا مرتب و شلوغ ، تمیز کردن را دشوار میکنند و میتوانند باعث تجمع پلاک و پوسیدگی دندان شوند. با مرتب شدن دندان ها ، مسواک زدن و نخ دندان کشیدن راحت تر میشود و خطر بیماری های لثه کاهش مییابد.
۳. بهبود تکلم و جویدن غذا
مشکلات فکی و دندانی میتوانند روی نحوه تلفظ برخی حروف و جویدن غذا تأثیر بگذارند. درمان ارتودنسی در سنین پایین باعث میشود کودک بتواند واضح تر صحبت کند و جویدن غذا به صورت صحیح تر انجام شود که این امر در سلامت دستگاه گوارش نیز مؤثر است.
۴. افزایش اعتماد به نفس کودک
لبخند زیبا تأثیر زیادی در اعتماد به نفس دارد. ارتودنسی کودکان به آن ها کمک میکند تا با لبخندی زیبا و بدون نگرانی در جمع ها حاضر شوند.
۵. اصلاح عادات دهانی نامناسب
برخی از عادات دهانی مانند مکیدن انگشت ، فشار زبان به دندان ها و تنفس دهانی میتوانند باعث ایجاد ناهنجاری های فکی شوند. ارتودنسی میتواند این مشکلات را اصلاح کرده و از تأثیرات منفی آن ها جلوگیری کند.
انجام ارتودنسی در سنین پایین یک سرمایهگذاری برای آینده سلامت دهان و دندان کودکان است و میتواند از مشکلات پیچیده در بزرگسالی پیشگیری کند.
ارتودنسی پیشگیری فازی از درمان ارتودنسی است که با هدف تصحیح مشکل اسکلتی و یا جلوگیری از پیدایش مشکل دندانی بیشتر در بزرگسالی صورت میگیرد. در موارد بوردلاین(یعنی مواردی که بین درمانهای کشیدنی یا غیرکشیدنی ارتودنسی بینابین هستند) امکان دارد که با ارتودنسی پیشگیری فرد را به سمت نکشیدن دندان سوق داد. این درمان پیشگیری علاوه بر اینکه تمیز کردن و استفاده از نخ دندان برای دندانها را راحت تر میکند ؛ در دندانهایی که حالت بیرون زده دارند احتمال شکستگی را نیز کاهش می دهد.

گاهی اوقات متخصص ارتودنسی تشخیص میدهد که کشیدن دندانهای شیری معینی موجب خواهد شد که مال اکلوژن موجود به طور تدریجی در ادامه روند رویش دندانهای دایمی برطرف شود و بالعکس در بعضی موارد ترجیح میدهد تا بعضی از دندانها حفظ شوند.

ارتودنسی پیشگیری برای کودکان به عنوان فاز اول درمان محسوب میشود که اگر چه ممکن است موجب برطرف شدن نیاز به Braceها در بزرگسالی نشود اما موجب به حداقل رسیدن آن خواهد شد. فاز دوم درمان در سنین 12-14 سالگی که تمامی دندانهای دایمی روییده اند آغاز میشود و از آنجا که بیشتر مشکلات در فاز اول درمان برطرف شده اند بازه فاز دوم کوتاه تر خواهد شد. در این بین اصلاح مشکلات اسکلتی در سنین پایین به مراتب راحت تر است چون رشد استخوانها کامل نشده و امکان تصحیح آنها وجود دارد.
ارتودنسی پیشگیری چه مشکلاتی را رفع می کند؟
ارتودنسی کودکان زیر نظر متخصص حرفه ای به روفع برخی مشکلات کمک می کند که مهمترین آن ها در بخش زیر آورده شده است :
- تنگی و کوچکی فک بالا که می تواند موجب کراس بایت خلفی و سایش غیر یکنواخت احتمالی دندان ها شود. در این موارد به کمک ابزارهای بازکننده فک ،تنگی فک بالا در سنین پایین مرتفع می شود.هر چه درمان در سن پایین تری آغاز شود ، باز کردن فک راحت تر و ممکن تر خواهد بود.باز کردن فک بالا پس از ۱۵سالگی امکان پذیر نمی باشد.
- به هم ریختگی شدید دندان ها در مواردی که فرد دارای زمینه ژنتیکی کمبود فضا در فک می باشد و احتمال کشیدن دندان در وی بالا باشد ، به کمک درمانی به نام سریال اکسترکشن ، دندان ها طوری کشیده می شوند که دندان های نابجا خود در هنگام رویش ، به فضای دندان کشیده شده هدایت شوند.
- رشد ناهماهنگ فک بالا و پایین اگر فک بالا یا پایین جلو یا عقب باشند ، می توان از فرصت رشد باقیمانده کمک گرفت و تا سن بلوغ رابطه فکی را هماهنگ نمود.
ارتودنسی کودکان یا ارتودنسی پیشگیری
مزایای ارتودنسی پیشگیری در کودکان
به طور کلی مزایای ارتودنسی پیشگیری را می توان موارد زیر دانست :
- هدایت رشد فک برای برقراری symmetry (تقارن) در صورت.
- اصلاح آثار ناشی از عادات بد دهانی همانند مکیدن انگشت شست. این عادت اگر در سنین بالاتر از 5سال نیز ادامه پیدا کند میتواند موجب باریک شدن قوس دندانی ، برجسته شدن دندانها و اپن بایت شود که اصلاح آن نیاز به درمانهای گسترده خواهد داشت.
- ایجاد فضا برای دندان های رویش یافته و همچنین نگه داری فضا برای دندان های رویش نیافته
- احتمال آسان تر شدن و کاهش مدت زمان درمان بعدی
بیش از نیمی از کودکان به درمان ارتودنسی نیاز دارند!
یک مطالعه اپیدمیولوژیک با هدف جمع آوری اطلاعات در مورد میزان وابستگی شیوع و گسترش مال اکلوژن در دوره mixed dentition و deciduous dentition انجام شده است. این مطالعه که در 8864 کودک پیش دبستانی و دبستانی صورت گرفته نشان میدهد که 57% کودکان مشکل مال اکلوژن دارند که میزان و شدت آن وابستگی زیادی به سن دارد و با گذر از دوره شیری به سیستم دندانی مختلط میزان آن به طور چشمگیری افزایش پیدا می کندکه این موضوع بر اهمیت ارتودنسی پیشگیری و درمان زود هنگام تاکید دارد. به طور کلی رشد باقیمانده امکانات بالقوه ای برای تصحیح برخی مشکلات ارتودنسی در اختیار ما می گذارد و اثرات بهره گیری از این ارتودنسی پیشگیری تا حد زیادی در تسهیل درمانهای ارتودنسی بعدی کمک کننده خواهد بود.
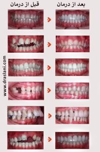
تاثیر ارتودنسی کودکان بر فاصله دندان های جلو
قطعا یکی از تاثیرات قابل توجه ارتودنسی کودکان ، رفع فاصله بین دندان های جلویی و حذف شکاف بین آن ها است. هنگامی که دندان های جلویی فاصله زیادی از یکدیگر دارند ، معمولاً به دلیل مشکلات رشد فک یا ناهنجاری های دندانی است. ارتودنسی با استفاده از دستگاه های خاص مانند براکت ها یا فنرها ، قادر است دندان ها را به موقعیت صحیح خود حرکت دهد و فاصله های زیاد بین دندان ها را کاهش دهد. این درمان نه تنها از نظر زیبایی ، شکل ظاهری لبخند کودک را بهبود میبخشد ، بلکه با اصلاح وضعیت دندان ها ، عملکرد صحیح جویدن و صحبت کردن نیز بهبود پیدا میکند. همچنین ، درمان ارتودنسی میتواند به جلوگیری از بروز مشکلات دندانی در آینده کمک کند ، زیرا فاصله های زیاد دندان ها میتواند باعث تجمع غذا و باکتری ها شود که ممکن است منجر به پوسیدگی یا بیماری های لثه شود
آیا امکان ارتودنسی کودکان با دندان شیری وجود دارد ؟
ارتودنسی برای کودکان با دندان های شیری ممکن است ، اما معمولاً در موارد خاص و به طور محدود انجام میشود. در این سنین ، دندان های شیری هنوز در حال افتادن و جایگزینی با دندان های دائمی هستند ، بنابراین درمان ارتودنسی معمولاً بیشتر برای اصلاح مشکلات فکی و هدایت رشد صحیح دندان های دائمی به کار میرود. این درمان معمولاً به عنوان ارتودنسی پیشگیری یا هدایت رشد شناخته میشود و هدف آن پیشگیری از مشکلات دندانی آینده است. به طور کلی ، انجام ارتودنسی در این مرحله منطقی است اگر مشکلات فکی یا دندانی قابل توجهی وجود داشته باشد که میتواند بر روی رشد دندان های دائمی تأثیر منفی بگذارد. بنابراین ، تصمیم به انجام ارتودنسی با دندان های شیری باید تحت نظر متخصص ارتودنسی و با بررسی شرایط خاص کودک گرفته شود.








