متخصصین ارتودنسی حدود دو درصد جامعه دندانپزشکی ایران را تشکیل می دهند و در بین متخصص های دندانپزشکی کشورمان،در کنار جراحان فک و صورت،بیشترین متخصصین دندانپزشکی کشور را تشکیل می دهند.متخصص ارتودنسی در ایران سه یا چهارسال علاوه بر دوره دندانپزشکی،دوره تحصصی می گذراند تا بصورت تخصصی به مرتب کردن دندانها و فکین بپردازد.در سال ۱۴۰۲ حدود ۸۲۵ متخصص ارتودنسی عضو سازمان نظام پزشکی کشورمان بوده اند که به نظر میرسد در سال ۱۴۰۴ مجموع متخصصین ارتودنسی کشورمان به بالای هزار نفر رسیده باشد.
متخصص ارتودنسی در تهران
با اینکه بیش از هزار متخصص ارتودنسی در کشور ما مشغول به فعالیت می باشند،جالب است بدانید که بیش از نیمی از جمعیت متخصصین ارتودنسی کشور در تهران و اطراف آن فعالیت دارند.در واقع توزیع غیریکنواخت متخصصین ارتودنسی در کشورمان به صورت جدی مشاهده می شود که البته ساکنین شهر تهران شاید به نوعی ازین موضوع منتفع می شوند.
عکس نمونه کار دکتر ارتودنسی در تهران
دکتر ارتودنسی تهران
با اینکه بسیاری از شهرهای دور از مرکز کشورمان بدون متخصص ارتودنسی می باشند؛اما ساکنین پایتخت دسترسی مناسبی را به این خدمات دارند.مناطق مختلف شهری تهران متخصصین معتبر و معروفی را در خود جای داده اند که امکان دسترسی آسانتر به مراجعین ارتودنسی آن منطقه را تسهیل نموده است.
مناطق شمال شهر تهران مانند زعفرانیه،ولنجک،نیاوران،فرمانیه محل فعالیت متخصصین ارتودنسی معروفی هستند.در عین حال مناطق غربی تهران مانند صادقیه،سعادت آباد،شهرک غرب نیز متخصصین ارتودنسی به نام دیگری را در خود جای داده اند.مناطق شهری شرق تهران و جنوب تهران کمتر از مناطق شمال تهران و غرب تهران تراکم حضور متخصص ارتودنسی را تجربه می کنند ولی با اینحال آنها نیز دسترسی خوبی به این خدمات تخصصی دارند.در سالهای اخیر متخصصین ارتودنسی متعددی در دو نقطه مجزا از شهر اقدام به تاسیس مطب تخصصی ارتودنسی کرده اند و این روند با توجه به ترافیک شهری و دشواری دسترسی به خدمات در این شهر،در حال افزایش می باشد.
شماره تماس:02188278067📞
متخصص ارتودنسی خوب در تهران
شاید در سالهای قبل، معیارهای فنی برای انتخاب متخصص ارتودنسی در تهران، به دسترسی و نزدیکی آن دکتر ارتودنسی به موقعیت مراجعه کننده می چربید و مراجعه کننده بخاطر شهرت و مهارت یک متخصص ارتودنسی حاضر می شد مسافت زیادی را طی نماید اما در سالهای اخیر این مسئله به وضوح تغییر یافته است.
دلیل اول آن این است که تقریبا” هر منطقه از تهران، متخصصین ارتودنسی خوبی دارد که قادر به ارائه خدمات مناسب ارتودنسی می باشند و هر کدام از مراجعه کنندگان ارتودنسی قادرند نزدیک به موقعیت خود،متخصص ارتودنسی واجد شرایطی را در تهران پیدا کنند.
پیدا کردن متخصص ارتودنسی خوب در تهران ملاحظه دیگری نیز دارد که باید به آن توجه کرد.درمان ارتودنسی درمانی طولانی است که در شرایط معمول نیاز به مراجعات ماهانه ۱۸ تا ۲۴ جلسه ای دارد و همین موضوع،ماهیت این درمان را با درمان های دیگر دندانپزشکی(مانند ترمیم،عصب کشی و غیره)متفاوت می کند.طبیعی است که اگر متخصص ارتودنسی خوبی را در منطقه خود(شمال،غرب،شرق و جنوب تهران)پیدا کردید؛نیازی نیست که هر ماه مسیر طولانی را برای دسترسی به متخصص ارتودنسی طی نمایید.
مطب بهترین متخصص ارتودنسی
فوق تخصص ارتودنسی تهران
تنها در شرایطی توصیه می نماییم که منطقه انتخاب متخصص ارتودنسی خود را تغییر دهید که بدنبال خدمات متمایز و متفاوت از متخصص ارتودنسی خود باشید.ارتودنسی مدرک فوق تخصص ندارد اما متخصصین ارتودنسی می توانند پس از متخصص ارتودنسی شدن،دوره فلوشیپ فوق تخصصی ارتوسرجری را بگذرانند که ارتودنسی ویژه افراد نیازمند جراحی فک را شامل می شود.در شرایطی که علاوه بر ارتودنسی نیازمند جراحی فک باشید بهتر است متخصص ارتودنسی دارای فلوشیپ ارتوسرجری را برای انجام این ارتودنسی خاص خود انتخاب نمایید.
ارتودنسی نامریی تهران
ارتودنسی نامریی نیز ارزش طی مسافت توسط مراجعه کننده این نوع ارتودنسی خاص را دارد.ارتودنسی نامریی تکنیکی جدید در درمان های ارتودنسی می باشد که از آن به عنوان ارتودنسی شفاف،الاینرهای ارتودنسی یا پلاک های شفاف ارتودنسی نیز یاد می شود.انجام این ارتودنسی خاص نیازمند مهارت ویژه متخصص ارتودنسی و اجرای آن نیازمند تجهیزات دیجیتالی است که یک کلینیک تخصصی مجهز ارتودنسی از عهده آن برمی آید.با توجه به اینکه هزینه انجام این ارتودنسی نامریی اغلب بالاتر از ارتودنسی سیمی می باشد؛بهتر است آن را در مجموعه ای انجام دهید که مهارت انجام ارتودنسی نامریی را کسب نموده باشد.
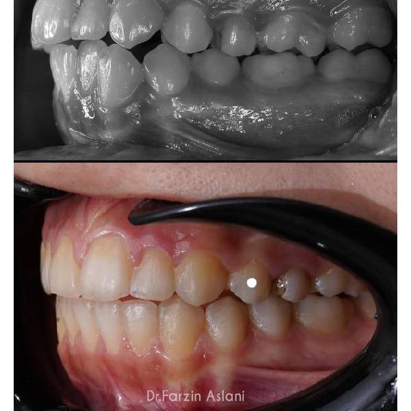
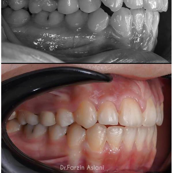
نمونه کار متخصص ارتودنسی تهران
در بخش زیر نمونه کار قبل و بعد ارتودنسی توسط دکتر فرزین اصلانی را مشاهده می کنید :
بهترین متخصص ارتودنسی تهران
شیوه انتخاب بهترین متخصص ارتودنسی تهران این است که چند متخصص ارتودنسی خوب در در منطقه محل سکونت خود انتخاب نموده و در مورد آنها تحقیق نمایید.در نهایت مابین دو یا سه متخصص ارتودنسی خوبی که در لیست خود دارید،ویزیت شوید تا بر اساس معاینه حضوری که داشته اید؛قادر به انتخاب بهترین متخصص ارتودنسی تهران از دیدگاه خودتان شوید.لازم به ذکر است عناوینی مانند دارا بودن بورد تخصصی،یا فلوشیپ فوق تخصصی به اعتبار یک متخصص ارتودنسی می افزاید.عضو هیئت علمی دانشگاه بودن یک متخصص ارتودنسی،به جایگاه متخصص ارتودنسی مورد نظر اضافه می نماید.عناوینی مانند عضویت در انجمن ارتودنسی اروپا یا آمریکا بر خلاف ظاهر پرطمطراق آن،عناوینی نیستند که به خودی خود ارزش علمی به متخصص ارتودنسی اضافه نمایند.
ادرس پیج اینستاگرام بهترین دکتر ارتودنسی
دریافت مشاوره و ارتباط با دکتر اصلانی















